Panoramik Röntgen
Panoramik Röntgen
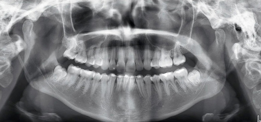
Dünyanın en kompakt Panoramik röntgen cihazı ile mükemmel görüntüler elde ederek, Ödüllü tasarımı ile hem hızlı, hem yorulmadan beklemeden tam otomatik kullanım sağlayarak hastalarımıza üstün kalite ile hizmet vermekteyiz. Doğru anatomik konumlandırma noktalarını gösteren üçlü lazer ışını sistemimizin desteklediği pozisyonlama ile, hastalarımızı önden ve yandan takip edebilmekteyiz. Ayrıca cihazımızın radyasyon oranı diğer cihazlara oranla çok düşüktür ve zararsızdır. Çocuk modu mevcuttur ve ona görede radyasyon oranı hiç yok denecek kadar azdır.





